Monday, 28 April 2014

Connective Tissue (Semester 2 - Biomedical science)

There are four 4 classes of tissue:




Tissue = A collection of cells performing a similar function.





Connective Tissue 

In contrast to the densely packed epithelial and muscle tissue, connective tissue are usually

  • dispersed population of cells. 
  • embedded in an extracellular matrix that they secrete (The extracellular matrix composition and properties differ among different types of of connective tissue).

Connective tissue cells:

If they name ends in '-Blast' 
  • Immature, ‘to bud or sprout’ 
  • Dividing, matrix-secreting cells 
  • Chondroblasts (cartilage) and osteoblasts (bone) 

If the name ends in '-cyte'
  • Mature
  • Reduced division and matrix formation.
  • Matrix maintenance
  • Chondrocyte (cartilage) and osteocyte (bone)
FIBROBLASTS ARE THE EXCEPTION!!!!!


Fibroblast:



'A fibroblast is a type of cell that synthesizes the extracellular matrix andcollagen,[1] the structural framework (stroma) for animal tissues, and plays a critical role in wound healing. Fibroblasts are the most common cells of connective tissue in animals.'

-They Secrete fibres and ground substance thus maintain extracellular matrix
-Migrate to sites of damage
Derived from mesenchyme (embryonic cells). Secrete collagen.





Macrophages
They are Phagocytes that engulf pathogens by endocytosis


  • Derived from monocytes 
  • Phage- eaters 
  • Engulf bacteria/debris by phagocytosis 
  • Fixed and wandering





Plasma Cells


  • They're derived from B-lymphocytes 
  • They secrete antibodies
  • Reside in connective tissue but migrates.
  • Found and transported by blood and lymph. 




















Extracellular matrix protien

Protein fibers are an important component in the extracellular matrix,
  • The dominant protein is collagen, it makes up to 25% of the bodies protein. 
  • Collagen is strong, resistant and stretchy. = Strength to the skin and connection between the bones and muscle.
  • Elastin is also in the Extracellular matrix. As you can tell from the name is provides elasticity which means it can stretch to several times its size and then recoil. 
Cartilage and bone are connective tissues that provide rigid structural support. In cartilage a network of collagen fibers is embedded in a flexible matrix consisting of a protein-carbohydrate complex. Along with a specific type of cell called chondrocyte. 

Cartilage lines the joints of vertebrates, is resistant to compressive forces. Because it's flexible it provides structural support for flexible structures i.e. external ears and noses.
The extracellular matrix in bone also contains many collagen fibers, but it's  hardened by the deposition of the mineral calcium phosphate.(I will write more about cartilage bone in much detail in another post).

1. ^ http://ghr.nlm.nih.gov/glossary=fibroblast

The process of translation.

Translation begins when mRNA binds to rRNA, there are 3 process to translation.


  1. Initiation:  This is when the small subunit of a ribosome charged with tRNA and the amino acid methionine encounters an mRNA, then attaches and starts to search for a start signal.
    When the start signal AUG is found, the codon for the amino acid methionine the large subunit joins the small subunit to form a complete ribosome and protein synthesis initiates.
  2. Elongation: A new tRNA and amino acid enters the ribosome at the next codon. Down stream of the AUG codon, If AUG anticodon matches the mRNA codon its base pairs and ribosomes can link the two amino acids together.  (If a tRNA with the wrong anticodon and therefore the wrong amino acid enters the ribosome, it cant base pair with the mRNA and is rejected.) The ribosome then moves one codon forward and a new tRNA and amino acid can enter the ribosome and procedure is repeated.
  3. Termination: When the Ribosome reaches of 3 stop codons for example UGA. There are no corresponding tRNAs to that sequence instead termination proteins bind to the ribosomes and stimulates the realise of the polypeptide chain, the ribosome dissociates from the mRNA. When the ribosome is released from the mRNA, its large and small subunit disassociates. The small subunit can now be loaded with a new tRNA and methionine and then translation starts again. Some cells need large quantities of a particular protein, To meet this requirement they make many of the corresponding gene and have working on each mRNA.

Friday, 25 April 2014

Eukaryotes and Prokaryotes.

Eukaryotic and Prokaryotic cells.

Animals and plants are composed of eukaryotic cells, whereas bacteria are simpler, prokaryotic cells. (Fungi and protoctistans (algae and protozoa) are also eukaryotic, since their cells have a nucleus). 

The main difference between Eukaryotic cells and prokaryotic cells is that prokaryotic cells have no nucleus or nuclear membrane. Their DNA is therefore not separated from the rest of the cytoplasm, but forms a single circular loop, sometimes called a bacterial chromosome. This DNA is not associated with proteins unlike that of Eukaryotic chromosomes. Bacteria also have smaller loops of DNA in the cytoplasm called plasmids. 

Prokaryotic cells are much smaller than eukaryotic cells and much simpler in their structure. They lack endoplasmic reticulum and membrane bound organelles like mitochondria and chloroplasts. 

Both types of cells have a cell membrane, a cytoplam, DNA and ribosomes. Prokaryotic cells lack any complex structures such as golgi body, cytoskeleton or lysosomes. 

Although bacteria has a cell wall, it isn't made up of cellulose but a substance called peptidoglycan. Outside the cell wall, some bacteria have a diffuse slime layer or thicker capsule. These are secretions of the cell which sometimes acts to stick the cells together they also act to protect the cell against attack from phagocytic white blood cells. Short protein rods called Pilli or Fimbriae project from the cells walls in some bacteria to help it stick to other cells and surfaces. 

Some species of the bacteria have one or many flagella, each consisting of a single rod of protein fibres rather than the hollow microtubule structure of the eukaryotic flagellum.

The cytoplasm of the bacterial cell contains scattered ribosomes, but these are not attached to membranes as with the rough endoplasmic reticulum of eukaryotic cells. They are also smaller than eukaryotic ribosomes. They are known as 70S ribosomes whereas eukaryotic ribosomes are called 80S ribosomes. The cytoplasm contains inclusions of glycogen granules for carbohydrate storage and lipid droplets. 



Thursday, 24 April 2014

Stages of protien synthesis: Transcription & Translation

Transcription & Translation

Stage 1: Transcription

  1. At the site of one gene the two strands of DNA unwind and the hydrogen bonds between the bases are broken. Catalysed by RNA polymerase. 
  2. One of the DNA strands (the coding strand) acts as a template for the copying of the complimentary strand of messenger RNA. 
  3. Free RNA nucleotides attach to the exposed DNA bases on the coding strand by complimentary paring. Catalysed by RNA polymerase. 
  4. The DNA base sequence of the gene has been copied to a complimentary sequence of bases on the mRNA.

Stage 2: mRNA carries information to ribosomes

  1. The completed strand of mRNA now leaves the nucleus via nuclear pores and enters the cytoplasm. Carrying the instructions from the DNA, 
  2. mRNA moves to a Ribosome. 
  3. In the nucleus, the bases on the two strands now rejoin and the DNA molecule now rewinds.

Stage 3: Translation.

  1. After attachment, the ribosome moves along the mRNA strand 'Reading' the information of the codons. 
  2. At the ribosomes the mRNA and the tRNA are brought closer together. So, each codon of mRNA attracts a tRNA with a complementary anticodon due to specific base paring. 
  3. Peptide bonds form between the amino acids, joining them up into a polypeptide chain. 
  4. The tRNA becomes detached from the ribosome, allowing the ribosome to collect another Amino acid.  




 

DNA & RNA

Molecular Genetics



What is the genetic code and what are its main features?

The sequence of nucleotides in DNA forms a code that determines the code that determines the sequence of amino acids in proteins of an organism. 
In eukaryotes the DNA is largely confined in the nucleus, however, the synthesis of proteins takes place in the cytoplasm. So how is the DNA in the nucleus transferred to the cytoplasm where it is translated into proteins?  

Answer is that sections of the DNA code is transcribed onto single stranded molecule called Ribonucleic acid a.k.a RNA. 

There are a number of RNA the one that transfers the DNA code from the nucleus to the cytoplasm and acts as a messenger is called Messenger RNA or mRNA. mRNA is small enough to exit through the nuclear pores and the sequences of nucleotide bases on the mRNA are what we call the 'genetic code'. mRNA code is complimentary to the DNA code. The term codon refers to the 3 bases (triplet) on mRNA that codes for single amino acids. 

Main features of the genetic code:

  • Amino acids in a protein is coded by a sequence of 3 nucleotide bases on mRNA (codon).
  • A few amino acids have only one codon. 
  • Codon = degenerate code. i.e most amino acids have more than one. 
  • 3 codons don't code for anything called stop codons. Non-coding regions of DNA within a gene are called introns (for interruption sequences), while the coding parts of DNA are called exons (for expressed sequences). All eukaryotic genes have introns, and they are usually longer than the exons, so genes are often much longer than they really need to be! one knows what these introns are for, but they need to be removed before the mRNA can be translated into protein.

  • It's non overlapping 
  • Universal

What is the structure of Ribonucleic acid structure

RNA is usually single stranded and it is a polymer made up of repeating mononucleotide sub-units. It forms a single strand in which each nucleotide is made up of:

  • Pentose sugar ribose
  • Organic bases Adenine, guanine, cytosine and uracil. 
  • Phosphate group.
The two types of RNA are:
  • mRNA
  • tRNA (Transcriptional)
Messenger RNA (mRNA)

mRNA is a long strand that is arranged into a single helix. It is made when DNA forms a mirror copy of part of one of its two strands. 
mRNA leaves the nucleus through the nuclear pores and associates with the ribosomes.
It then acts as a template onto which proteins are built. It's structure suits it's function, can also be easily broken.

Transfer RNA (tRNA)

tRNA is relatively small, it is made up of 80 nucleotides. It is single stranded and the chain is folded into a clover shape. One end of the chain extends beyond the other, allowing amino acids to easily attach. At the opposite end is a molecule called an 'anticodon' 
The anticodon will pair with the 3 bases on the mRNA molecule, there are different types of tRNA each with a different “anticodon”. 

Q&A

Q. Explain why the genetic code is described as:
a. Universal
b. Degenerate
c. non-overlapping. 

A. Universal - because it is the same in all organisms 
     Degenerate - Most amino acids have more than one codon.
     Non-overlapping - Because each base in the sequence is is read only once.

 Q. State four ways in which the molecular structure of RNA differs from DNA.
 A. 1. RNA is smaller than DNA
      2. RNA is usually single stranded whereas DNA is a double helix.
      3. The sugar in RNA is ribose while in DNA it's deoxyribose. 
      4. In RNA the base Uracil replaces Thymine in DNA. 

Q. Distinguish between a codon and an anticodon.
A. A codon is the triplet of bases on messenger RNA that codes for an amino acid.
     An anticodon is the triplet of bases on a transfer RNA molecule that is complimentary to a codon.
  



Wednesday, 23 April 2014

Genetics Glossary

Glossary:

DNA Structure
The double-helix structure of DNA enabling it to act as a
stable information-carrying molecule, in terms of the
components of DNA nucleotides: deoxyribose, phosphate
and the bases adenine, cytosine, guanine and thymine; two
sugar-phosphate backbones held together by hydrogen bonds
between base pairs; specific base pairing. DNA is the genetic
material in bacteria as well as in most other organisms.
Analyse, interpret and evaluate data concerning early
experimental work relating to the role and importance of
DNA.

DNA Replication
The semi-conservative replication of DNA in terms of:
breaking of hydrogen bonds between polynucleotide strands;
attraction of new DNA nucleotides to exposed bases and
base pairing; role of DNA helicase and of DNA polymerase.

Gene Expression
Genes are sections of DNA that contain coded information
as a specific sequence of bases. A gene occupies a fixed
position, called a locus, on a particular strand of DNA.
Genes code for polypeptides that determine the nature and
development of organisms. The base sequence of a gene
determines the amino acid sequence in a polypeptide. A
sequence of three bases, called a triplet, codes for a specific
amino acid.

In eukaryotes, much of the nuclear DNA does not code for
polypeptides. There are, for example, introns within genes
and multiple repeats between genes.

Mutations
Mutations are changes in DNA and result in different
characteristics. Differences in base sequences of alleles of a
single gene may result in non-functional proteins, including
non-functional enzymes.

Chromosomes
In eukaryotes, DNA is linear and associated with proteins. In
prokaryotes, DNA molecules are smaller, circular and are
not associated with proteins.

Mitosis and the Cell Cycle
During mitosis, the parent cell divides to produce two
daughter cells, each containing an exact copy of the DNA ofthe parent cell. DNA is replicated during interphase. Mitosis
increases the cell number in this way in growth and tissue
repair. Name and explain the events occurring during each
stage of mitosis. Recognise the stages from drawings and
photographs. Relate understanding of the cell cycle to cancer
and its treatment.

Meiosis and Sexual Reproduction
The importance of meiosis in producing cells which are
genetically different. Meiosis only in sufficient detail to show
the formation of haploid cells; independent segregation of
homologous chromosomes; and genetic recombination by
crossing over. Gametes are genetically different as a result of
different combinations of maternal and paternal
chromosomes.

Cell Differentiation
The cells of multicellular organisms may differentiate and
become adapted for specific functions. Tissues as
aggregations of similar cells, and organs as aggregations of
tissues performing specific physiological functions. Organs
are organised into systems.

Antibiotics and Resistance
Antibiotics may be used to treat bacterial disease. One way
in which antibiotics function is by preventing the formation of
bacterial cell walls, resulting in osmotic lysis. Mutations in
bacteria may result in resistance to antibiotics. Resistance to
antibiotics may be passed to subsequent generations by
vertical gene transmission. Resistance may also be passed
from one species to another when DNA is transferred
during conjugation. This is horizontal gene transmission.

Antibiotic resistance in terms of the difficulty of treating
tuberculosis and MRSA. Apply the concepts of adaptation
and selection to other examples of antibiotic resistance.
Evaluate methodology, evidence and data relating to
antibiotic resistance. Discuss ethical issues associated with
the use of antibiotics. Discuss the ways in which society uses
scientific knowledge relating to antibiotic resistance to
inform decision-making.

Classification
A species may be defined in terms of observable similarities
and the ability to produce fertile offspring. Candidates should
appreciate the difficulties of defining species and the tentative
nature of classifying organisms as distinct species.

The principles and importance of taxonomy. Classification
systems consist of a hierarchy in which groups are contained
within larger composite groups and there is no overlap. One
hierarchy comprises Kingdom, Phylum, Class, Order, Family,
Genus, Species. The phylogenetic groups are based on
patterns of evolutionary history.

Originally classification systems were based on observable
features but more recent approaches draw on a wider range
of evidence to clarify relationships between organisms.
Genetic comparisons can be made between different species
by direct examination of their DNA or of the proteins
encoded by this DNA.
• Comparison of DNA base sequences is used to elucidate
relationships between organisms. These comparisonshave led to new classification systems in plants.
Similarities in DNA may be determined by DNA
hybridisation.
• Comparisons of amino acid sequences in specific proteins
can be used to elucidate relationships between
organisms. Immunological comparisons may be used to
compare variations in specific proteins.
Interpret data relating to similarities and differences in base
sequences in DNA and in amino acid sequences in proteins
to suggest relationships between different organisms.

The role of courtship in species recognition. Courtship
behaviour as a necessary precursor to successful mating.

Thursday, 13 March 2014

Muscle Tissue (Semester 2 - Biomedical Revision Notes)


There are four 4 classes of tissue:




Tissue = A collection of cells performing a similar function.






Muscle Tissue 

These consist of elongated cells that contract to generate forces and cause movement. Muscle tissue are the most abundant tissue in the body and they use most of the energy produced in the body. All muscle cells contain long protein polymers called Myosin and Actin which interact to cause muscle cells to contract and exert force. There are three types of muscle tissue.



1. Skeletal muscle: (Named this due to them being mostly connected to bones) are responsible for locomotion and other body movements such as facial expressions, shivering, and breathing.






2. Cardiac muscle: Makes up the heart and are responsible for beating of the heart and the pumping of blood. Individual cardiac muscle cells are branched and interweaving of these branches gives heart muscle structural strength. 






    3.Smooth muscle: Responsible for involuntary generation of forces in many hollow internals organs such as the gut, bladder, and blood vessels. 






    Monday, 3 March 2014

    Epithelial tissue (Semester 2: Biomedical Revision Notes)

    Information taken from the text book 'Life'. 


    There are four 4 classes of tissue:




    Tissue = A collection of cells performing a similar function.







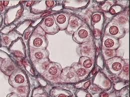
    We'll start talking about the Epithelial tissue. Epithelial tissue are sheets of densely packed, tightly connected epithelial cells (as shown in the image above).
    Epithelial cells have many functions, 

    • They create boundaries between the inside and the outside of the body and between body compartments. 
    • They line the blood vessels and make up various ducts and tubules.
    Filtration and transportation are important functions of the epithelial cells because

    • They both act as barriers and provide transport across those barriers. 
    • They control what molecules and ions can move between the blood and interstitial fluid. 
    • They can selectively transport ions and molecules from one side of an epithelial membrane to the other.


    Absorption of nutrients molecules from your gut and the secretion of acid into your stomach.
    Photo taken from http://www.news.leiden.edu/
    Some epithelial cells are, like those in the lungs or at the skins surface, are extremely thin (squamous) to facilitate movement of substances across them.

    The skin is epithelial tissue that receives much wear and tear. Accordingly, epithelial cells in the deepest layer of the skin have a high rate of cell division. Producing new cells that move progressively to the skin surface. die, and are shed.
    A cross section of the skin reveals layering of the cells, from the newly formed ones to the innermost germinal layer to the dead ones on the surface.

    Due to this appearance, the skin is called a stratified epithelium.
    In contrast, the gut epithelium consists of a single layer of tall, closely packed cells called a simple columnar epithelium. The epithelial cells of your gut are replaced about every 5 days; those in your skin are removed every 1 to 2 months.














    A single layer of cuboidal epithelial cells form a tubule in the kidney. These cells have many molecular transport functions.